Dental Implants in Milford

Dental Implants That Actually Feel Like Yours

Most implant teeth look fake. Many surgeries are still done entirely by hand. And too often, offices push a one-size-fits-all approach that ends up feeling more like a denture than your real smile.

At Bloom Implant Center, we’re changing that. Dr. Patrick Greitzer has spent years perfecting techniques that give patients real-looking teeth, enhanced by robotic precision and a proprietary workflow designed to deliver natural results-fast.

View Our Limited Time Promotions:

  • Single Implant Special

    Dentist in Milford

    $3,250

    Free Consultation
    1 Implant
    Crown
    Implant Abutment

    Schedule an Appointment
    * Restrictions may apply
  • Implant Retained Denture

    Dentist in Milford

    $9,995

    Secure Fit / Less Movement
    Removable / Easy Cleaning
    3D Surgical Planning

    Schedule an Appointment
    * Restrictions may apply
  • All-on-4 Single Arch

    Dentist in Milford

    $14,995

    Full Arch Fixed Teeth
    Same-Day Provisional Teeth
    Custom Smile Design
    3D Surgical Planning

    Schedule an Appointment
    * Restrictions may apply
  • Zirconia Upgrade

    Dentist in Milford

    $4,000

    Premium Zirconia
    Most Natural Appearance
    Exceptional Durability
    Precision Milled Fit

    Schedule an Appointment
    * Restrictions may apply

Top Rated Dental Implant Surgeon in Milford

Your Smile Transformation Awaits

"Every Smile is the Culmination of Science and Art."

"I pride myself in providing patients with the most natural looking bright smiles possible."
-Dr. Patrick Greitzer, DDS



Schedule Your Consultation

Dental Implant Surgeon in Milford

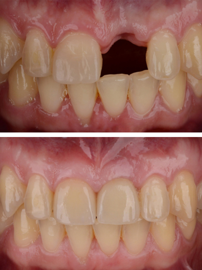
See the difference yourself

What you see here are real patients treated by Dr. Patrick Greitzer, not stock teeth. These are people who once felt hopeless about their teeth and now can’t stop smiling. You could be next.

Meet Our Top Rated Dental Implant Surgeon in Milford, Dr. Patrick Greitzer

Dental Implants Treatment in Milford

Dental Implant Surgeon / IV Certified

With years of advanced surgical training and a calm, compassionate approach, Dr. Patrick Greitzer is dedicated to delivering life-changing results. From full-arch dental implants to complex extractions, his focus is on precision, safety, and patient comfort-every step of the way.

- Specialized in IV sedation for stress-free treatment
- Hundreds of successful implant cases
- Passionate about restoring confidence through dentistry

“Every smile we restore is deeply personal-our patients aren’t just getting new teeth, they’re reclaiming their confidence.”

Dr. Greitzer Signature


Schedule your consult with Patrick Greitzer, DDS to find out if Dental Implants is right for you.



SCHEDULE AN APPOINTMENT

Start your Dental Implants Treatment in Milford, OH

Do You Want Teeth That Look Like Teeth?

Here’s the truth most offices won’t tell you:

Most full arch implant centers offer something called a “hybrid denture.” It’s a big block of fake teeth attached to pink material that tries to mimic your gums. It looks bulky. It feels bulky. And it doesn’t feel like you. Look at the image below:

At Bloom Implant Center, we do it differently.

We create individual teeth, custom-designed for your face, shaped and shaded to look like real teeth. They’re light. They’re strong. They’re clean. No fake pink. No bulky smile. Just natural, lifelike results.

Bloom Implant Center Aesthetic Smiles

Precision in Implant and Aesthetic Dentistry

1. Patient Specific Plan

We predict your results before we start. Our talented team use advanced technology, including CT scans, 3D facial scanners, intra-oral scanners and advanced software to plan the ideal outcomes for our patients.

2. Technology to Build your Smile

Having the most advanced milling machines and design protocols in the world, we are able to manufacture your teeth with precision and durability in mind.

3. Expertise

As true experts in the field we pride ourselves in providing natural looking beautiful and bright teeth. Nobody will know you have had anything done . We are so confident in our team that we will guarantee that you will love your teeth or we will redo them at no cost to you.

4. Comfort and Cost

Our highly trained team will make you comfortable throughout the procedure. The process is efficient and precise which allows us to pass on the cost savings to you

See How We Can Help.
Is Your Smile Holding You Back?

Rediscover your confidence with Bloom Implant Center. Here, every smile we craft starts with understanding your needs and dreams. With our precision technology and expert care, we ensure your new smile is just as you envision—perfect. Join us and see why our patients choose Bloom Implant Center for a transformation that goes beyond just aesthetics.

Explore Your Journey with Us.

Bloom Implant Center Quality Guarantee

At Bloom Implant Center, we are dedicated to offering the highest standard of dental care. Our Quality Guarantee ensures that every patient receives exceptional treatment, utilizing state-of-the-art technology and premium materials.

Our Expertise

At Bloom Implant Center, specialization isn't just a credential—it's our practice. Our team, skilled in both oral surgery and prosthodontics, focuses exclusively on dental implants treatments, ensuring that every procedure not only meets but exceeds expectations. Our experts dedicate themselves to precision in every detail, transforming lives one smile at a time.

Looking for Dental Implants in Milford?

Contact our office today at 513-273-1457 or schedule your appointment. We're happy to answer any questions, inquiries, or concerns you may have about Dental Implants.



Schedule Your Consultation
Bloom Implant Center Special Offer

Start saving with confidence and $350 in savings

We're here to make your journey simple. Fill out this form and we'll send your $350 savings offer, along with everything you need to know to get started with Bloom Implant Center.

Schedule an Appointment